Cabinet dentaire - Exercice limité à l'orthodontie
BASSE TERRE Guadeloupe 97100
Chirurgien dentiste, Diplôme d'Université d'Orthodontie Pédiatrique
de l’Université Paris VI.
Cabinet dentaire - Exercice limité à l'orthodontie
BASSE TERRE Guadeloupe 97100

8 rue de la République 97100 BASSE TERRE Guadeloupe
 

Chirurgien dentiste, Diplôme d'Université d'Orthodontie Pédiatrique
de l’Université Paris VI.

+590 590 99 73 25
 

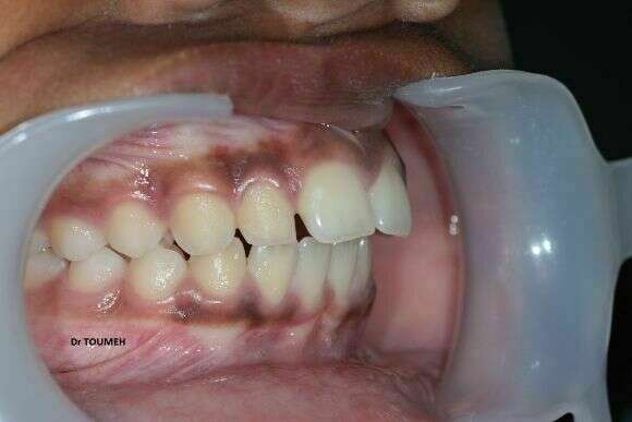
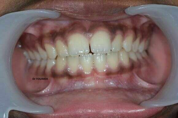
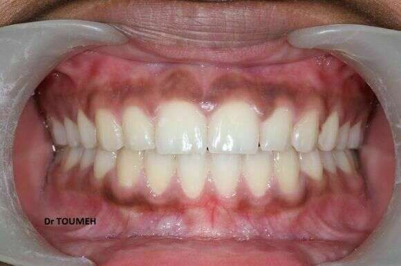
Amélioration du sourire


L' orthodontie de par son action sur les dents (Alignement, élargissement des arcades dentaires, soutien des lèvres des joues) et les maxillaires améliore notablement le sourire.

Avant
Après
Avant
Après
Avant
Après
Avant
Après