Cabinet dentaire - Exercice limité à l'orthodontie
BASSE TERRE Guadeloupe 97100
Chirurgien dentiste, Diplôme d'Université d'Orthodontie Pédiatrique
de l’Université Paris VI.
Cabinet dentaire - Exercice limité à l'orthodontie
BASSE TERRE Guadeloupe 97100

8 rue de la République 97100 BASSE TERRE Guadeloupe
 

Chirurgien dentiste, Diplôme d'Université d'Orthodontie Pédiatrique
de l’Université Paris VI.

+590 590 99 73 25
 

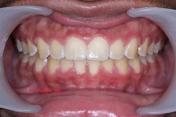
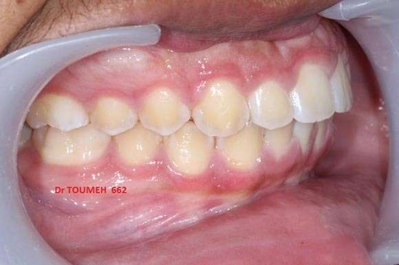
Classe II squelettique (Maxillaire inférieure en retrait), orthodontiste


l' orthodontiste peut agir sur la croissance des maxillaires par une action orthopédique, ce traitement est réalisé par une action d'avancée mandibulaire (orthopédique) associée au traitement orthodontique.


Avant
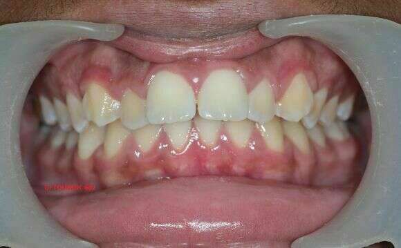
Après
Avant
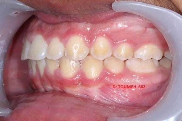
Après
Avant
Après
Avant
Après

Amélioration du sourire

Avant
Après

Notez l'amélioration du profil

Avant
Après