Cabinet dentaire - Exercice limité à l'orthodontie
BASSE TERRE Guadeloupe 97100
Chirurgien dentiste, Diplôme d'Université d'Orthodontie Pédiatrique
de l’Université Paris VI.
Cabinet dentaire - Exercice limité à l'orthodontie
BASSE TERRE Guadeloupe 97100

8 rue de la République 97100 BASSE TERRE Guadeloupe
 

Chirurgien dentiste, Diplôme d'Université d'Orthodontie Pédiatrique
de l’Université Paris VI.

+590 590 99 73 25
 

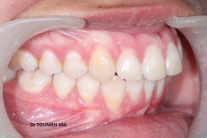
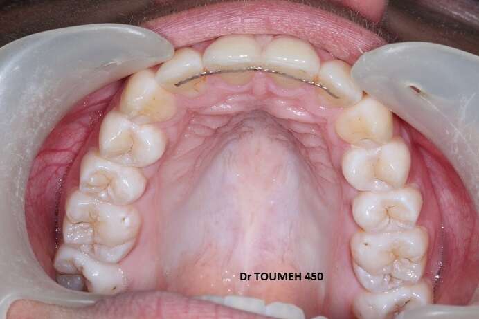
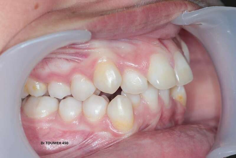
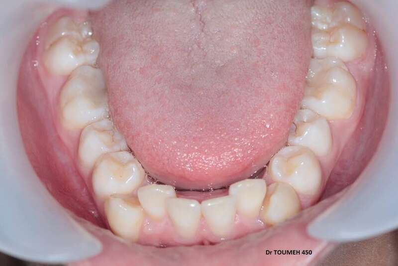
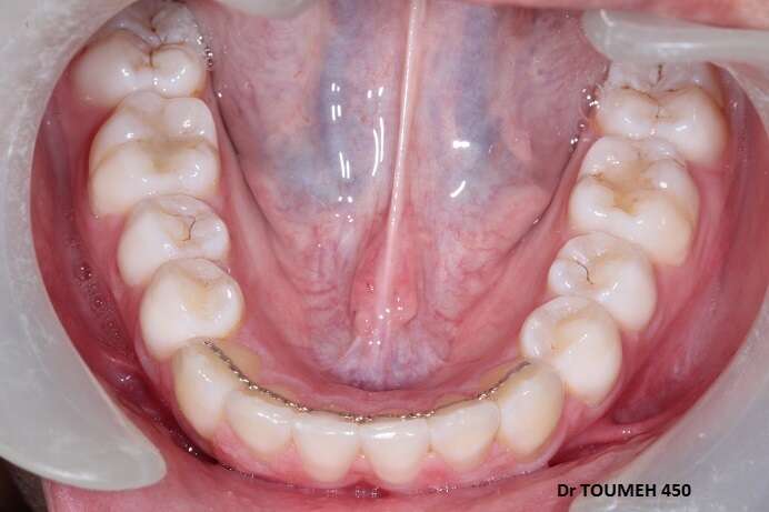
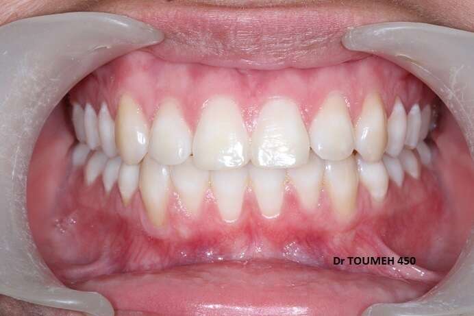
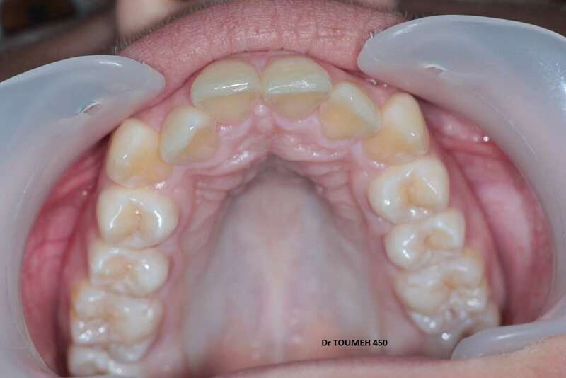
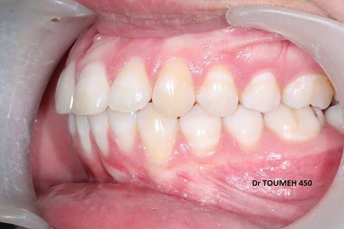
DDM importante, traitement orthodontique sans extraction


Le progrès considérable de l'orthodontie, des techniques et des matériaux des appareils orthodontiques permet de réaliser des traitement autrefois était impossible à réaliser sans l'extraction de 4 dents permanentes.


Avant
Après
Avant
Après
Avant
Après
Avant
Après
Avant
Après
Avant
Après
Avant
Après