Cabinet dentaire - Exercice limité à l'orthodontie
BASSE TERRE Guadeloupe 97100
Chirurgien dentiste, Diplôme d'Université d'Orthodontie Pédiatrique
de l’Université Paris VI.
Cabinet dentaire - Exercice limité à l'orthodontie
BASSE TERRE Guadeloupe 97100

8 rue de la République 97100 BASSE TERRE Guadeloupe
 

Chirurgien dentiste, Diplôme d'Université d'Orthodontie Pédiatrique
de l’Université Paris VI.

+590 590 99 73 25
 

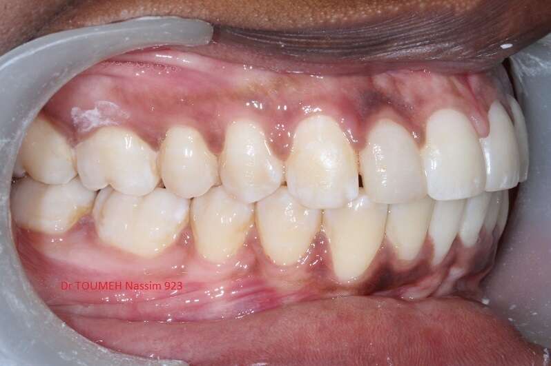
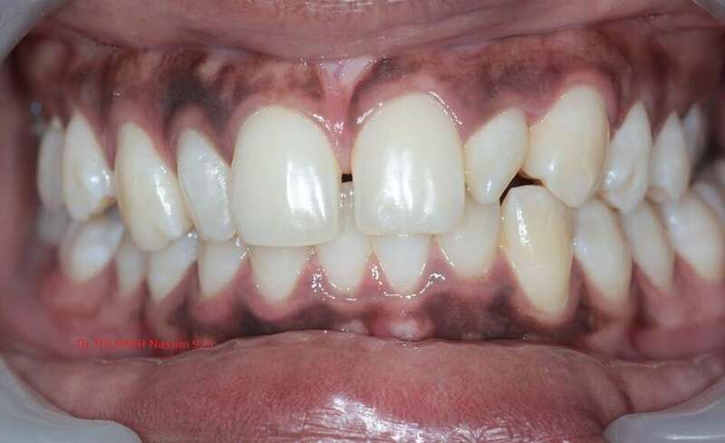
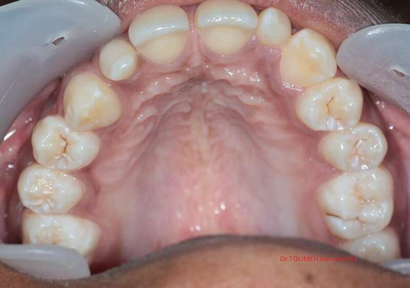
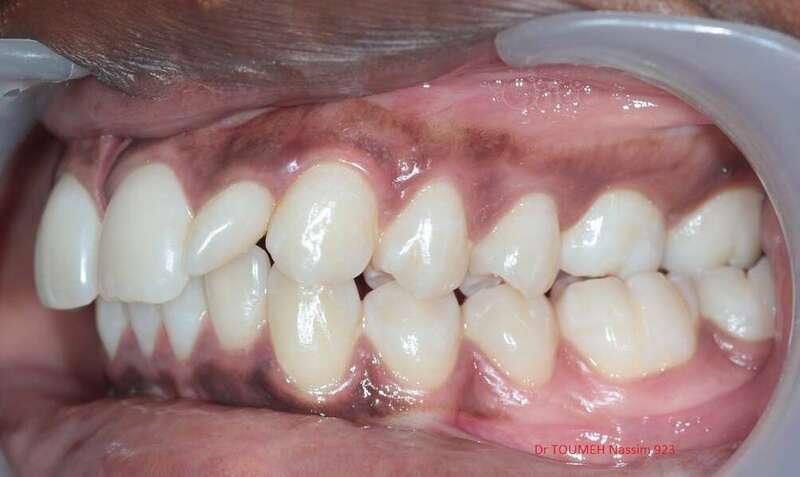
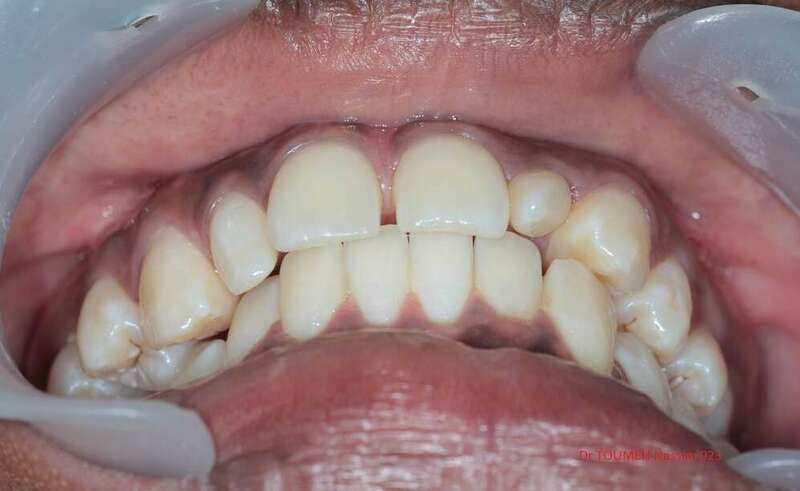
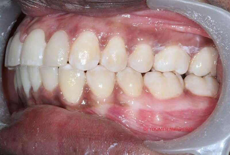
Latérales naines et orthodontie


la forme des dents influence grandement l’esthétique du sourire

La malformation des incisives latérales en est l'illustration

Le traitement consiste à redresser les dents à l'aide d'un appareil orthodontique (Multiattaches) et à redonner une forme normale aux dents malformées.

Dans ce cas présenté des couronnes provisoires en résines ont été posées.

Avant
Après
Avant
Après
Avant
Après
Avant
Après
Avant
Après
Avant
Après
Avant
Après
Avant
Après