Cabinet dentaire - Exercice limité à l'orthodontie
BASSE TERRE Guadeloupe 97100
Chirurgien dentiste, Diplôme d'Université d'Orthodontie Pédiatrique
de l’Université Paris VI.
Cabinet dentaire - Exercice limité à l'orthodontie
BASSE TERRE Guadeloupe 97100

8 rue de la République 97100 BASSE TERRE Guadeloupe
 

Chirurgien dentiste, Diplôme d'Université d'Orthodontie Pédiatrique
de l’Université Paris VI.

+590 590 99 73 25
 

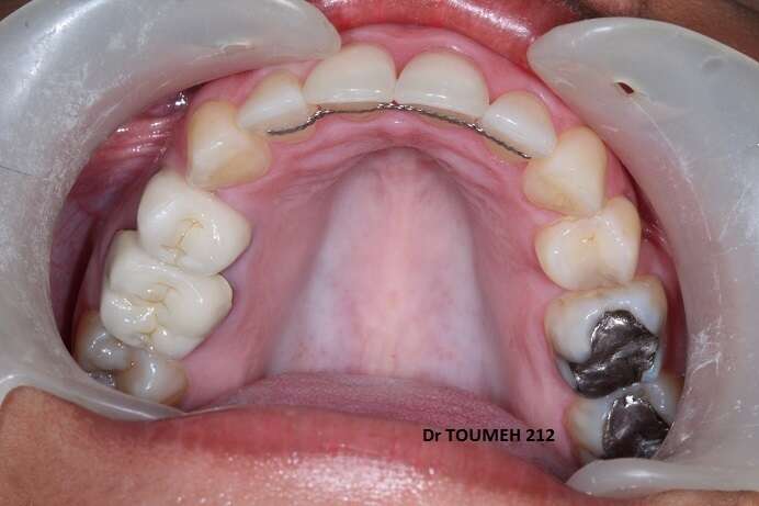
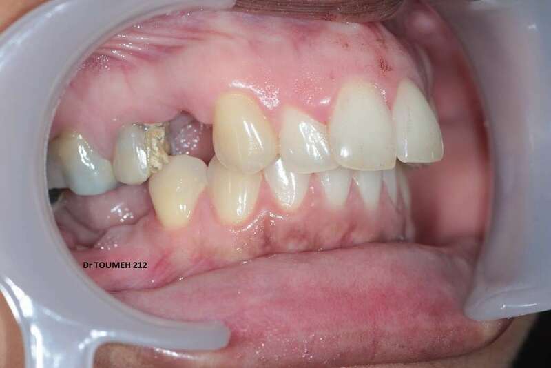
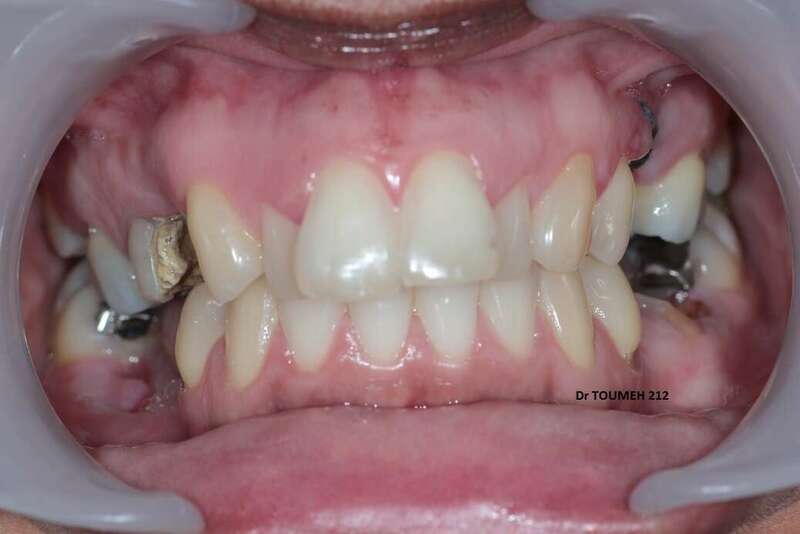
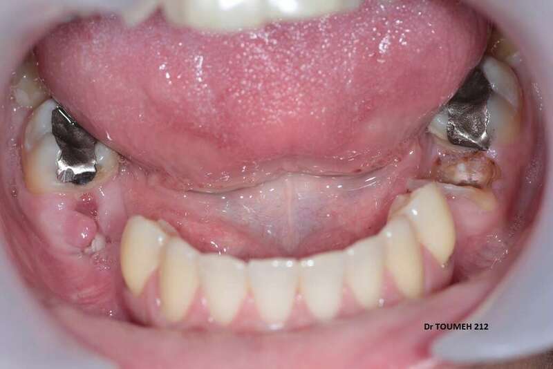
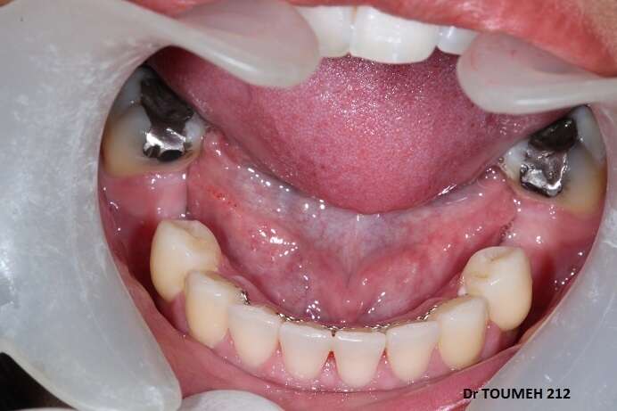
Orthodontie Adulte édentée Partielle


L' Orthodontie a permis d’éviter la prothèse à l'arcade supérieure et de réduire la taille de la prothèse à l'arcade inférieure.

Avant
Après
Avant
Après
Avant
Après
Avant
Après
Avant
Après
Avant
Après
Avant
Après