Cabinet dentaire - Exercice limité à l'orthodontie
BASSE TERRE Guadeloupe 97100
Chirurgien dentiste, Diplôme d'Université d'Orthodontie Pédiatrique
de l’Université Paris VI.
Cabinet dentaire - Exercice limité à l'orthodontie
BASSE TERRE Guadeloupe 97100

8 rue de la République 97100 BASSE TERRE Guadeloupe
 

Chirurgien dentiste, Diplôme d'Université d'Orthodontie Pédiatrique
de l’Université Paris VI.

+590 590 99 73 25
 

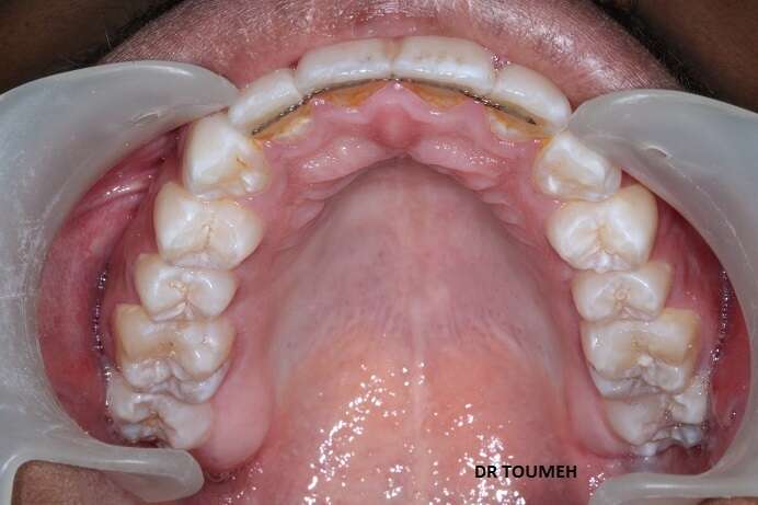
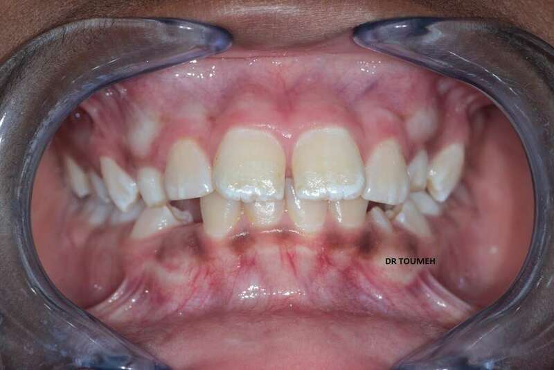
Orthodontie précoce, traitement DDM, alignement, Orthodontiste


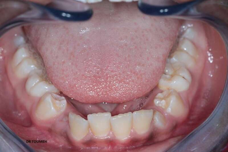
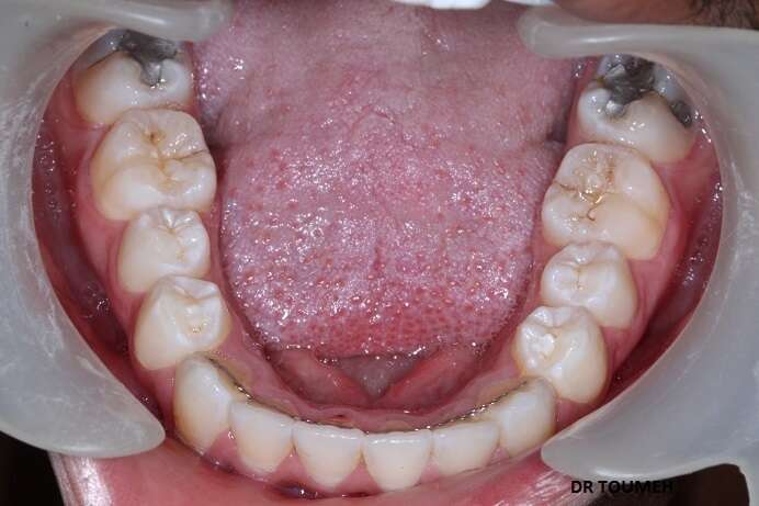
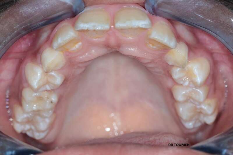
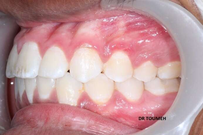
Le traitement Orthodontique doit commencer au bon moment le plutôt possible,


Avant
Après

Votre Orthodontiste détermine le moment où il faut entamer le traitement orthodontique selon plusieurs paramétres (l'age de l'enfant, l'age osseux, le cas et le plan de traitement .....).

Avant
Après
Avant
Après
Avant
Après
Avant
Après