Cabinet dentaire - Exercice limité à l'orthodontie
BASSE TERRE Guadeloupe 97100
Chirurgien dentiste, Diplôme d'Université d'Orthodontie Pédiatrique
de l’Université Paris VI.
Cabinet dentaire - Exercice limité à l'orthodontie
BASSE TERRE Guadeloupe 97100

8 rue de la République 97100 BASSE TERRE Guadeloupe
 

Chirurgien dentiste, Diplôme d'Université d'Orthodontie Pédiatrique
de l’Université Paris VI.

+590 590 99 73 25
 

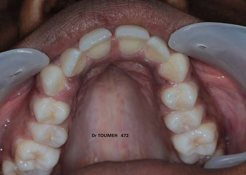
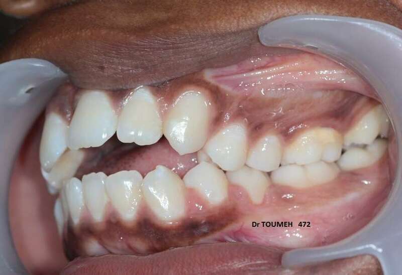
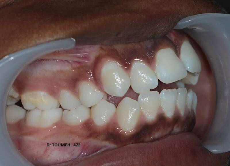
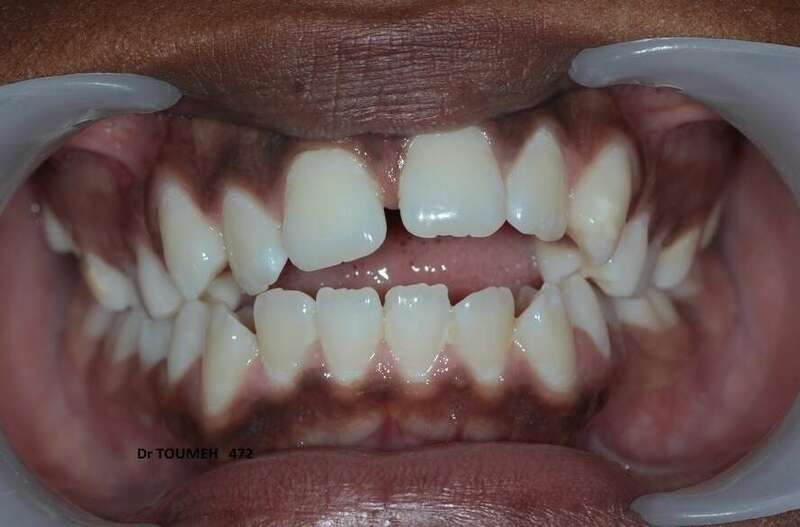
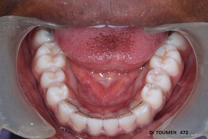
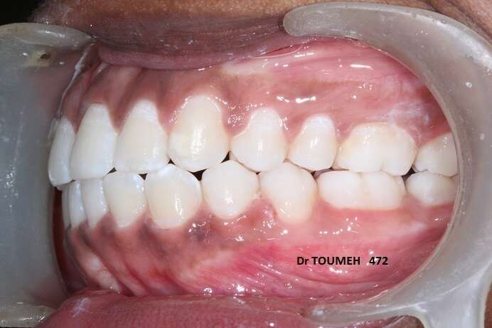
Succion de pouce, traitement par orthodontie


La succion de pouce peut provoquer des anomalies de l'occlusion,


Avant
Après

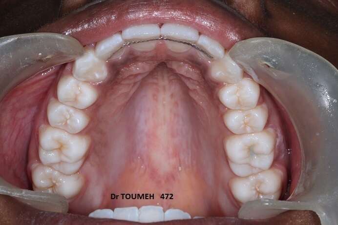
votre orthodontiste peut vous aider par des moyens orthodontique à arrêter cette habitude nocive, à réparer les dégâts causés, et donner un sourire plus harmonieux.

Avant
Après
Avant
Après
Avant
Après
Avant
Après
Avant
Après